英文名称:Anti-phospho-AKT2 (Ser474)
中文名称:磷酸化蛋白激酶B2抗体p-AKT2(S474)
抗体来源:兔
克隆类型:多克隆
交叉反应:人、大鼠、小鼠、鸡、狗、猪、牛、兔、羊
产品应用:WB=1:500-2000 ELISA=1:500-1000 IHC-P=1:400-800 IHC-F=1:400-800 IF=1:100-500(石蜡切片需做抗原修复)
尚未在其他应用程序中测试。
用户终应确定合适稀释浓度。
分子量:56kDa
细胞定位:细胞核 细胞浆 细胞膜
状态:冻干或液体
浓度:1mg/ml
来源于:KLH conjugated Synthesised phosphopeptide derived from human AKT2 around the phosphorylation site of Ser474:QF(p-S)YS
亚型:IgG
纯化方法:affinity purified by Protein A
储存液:0.01M TBS(pH7.4) with 1% BSA, 0.03% Proclin300 and 50% Glycerol.
别 名:AKT2 (phospho S474); p-AKT2 (phospho S474); Akt2(Phospho-Ser474); C AKT; MGC9965; Oncogene AKT1; PKB; PRKBA; Protein Kinase B Alpha; RAC Alpha; RAC; RAC PK Alpha; RAC Serine/Threonine Protein Kinase; vAKT Murine Thymoma Viral Oncogene Homolog 1.
保存条件:在-20°C下保存一年。避免重复冻融循环。冻干抗体在室温下至少稳定一个月,并在-20°C下保持一年以上。当在无菌pH7.4 0.01M PBS或抗体稀释剂中重组时,抗体在2-4°C下至少稳定两周。
产品介绍
这个基因是一个假定的癌基因,编码一个属于丝氨酸/苏氨酸激酶亚家族的蛋白质,包含sh2样(SRC同源2样)结构域。该基因在8个卵巢癌细胞系中的2个和15个原发性卵巢肿瘤中的2个被扩增和过度表达。过度表达导致人导管胰腺癌亚群的恶性表型。编码蛋白是一种普通的蛋白激酶,能够对几种已知的蛋白进行磷酸化。[参考文献编号:2008年7月]
功能:
Akt2是3种密切相关的丝氨酸/苏氨酸蛋白激酶(Akt1、Akt2和Akt3)之一,称为Akt激酶,它调节许多过程,包括代谢、增殖、细胞存活、生长和血管生成。这是通过一系列下游底物的丝氨酸和/或苏氨酸磷酸化来介导的。到目前为止,已有超过100种候选底物被报道,但对大多数底物,还没有报道亚型特异性。Akt通过调节胰岛素诱导的SLC2A4/GLUT4葡萄糖转运蛋白在细胞表面的易位来调节葡萄糖摄取。在“ser-50”处磷酸化ptpn1可负性调节其磷酸酶活性,防止胰岛素受体的去磷酸化和胰岛素信号的减弱。tbc14d4的磷酸化触发这种效应器与抑制性14-3-3蛋白的结合,这是胰岛素刺激葡萄糖转运所必需的。Akt还通过磷酸化“Ser-21”处的GSK3A和“Ser-9”处的GSK3B来调节糖原形式的葡萄糖储存,从而抑制其激酶活性。Akt磷酸化GSK3亚型也被认为是细胞增殖的一种机制。Akt也通过MAP3K5(凋亡信号相关激酶)的磷酸化调节细胞存活。‘ser-83’的磷酸化降低氧化应激刺激的MAP3K5激酶活性,从而阻止凋亡。Akt通过在“ser-939”和“thr-1462”处磷酸化tsc2来介导胰岛素刺激的蛋白质合成,从而激活mtorc1信号,并导致4e-bp1的磷酸化和rps6kb1的激活。Akt参与Foxo因子(转录因子叉头家族)成员的磷酸化,导致14-3-3蛋白结合和细胞质定位。特别地,foxo1在“thr-24”、“ser-256”和“ser-319”被磷酸化。FoxO3和FoxO4在等效位置被磷酸化。Akt在调节NF-kappa-b依赖基因转录中起着重要作用,并对CREB1(环AMP(cAMP)-反应元件结合蛋白)的活性起到积极的调节作用。Creb1的磷酸化诱导了bcl2和mcl1等促生存基因转录所必需的辅助蛋白的结合。Akt在ATP柠檬酸裂合酶(acly)上磷酸化“ser-454”,从而潜在地调节acly活性和脂肪酸合成。通过“ser-273”的磷酸化激活环核苷酸磷酸二酯酶(pde3b)的3b亚型,从而降低环AMP水平和抑制脂解。磷酸化“ser-318”上的pikfyve,导致pi(3)p-5活性增加。rho-gtpase激活蛋白dlc1是另一种底物,其磷酸化与调节细胞增殖和细胞生长有关。在成人神经发生过程中,Akt作为Akt-mtor信号通路的关键调节剂,控制新生神经元整合过程的节奏,包括正确的神经元定位、树突发育和突触形成。向磷脂酰肌醇3-激酶(pi(3)k)下游发送信号,介导血小板衍生生长因子(pdgf)、表皮生长因子(egf)、胰岛素和胰岛素样生长因子I(igf-i)等各种生长因子的作用。Akt介导了IGF-I的抗凋亡作用,这对于SPATA13介导的细胞迁移和粘附装配和分解的调节是*的。可能与胎盘发育的调节有关。
近确定的AKT2的少数特异性底物之一是pitx2。pitx2的磷酸化破坏了其与ccnd1 mRNA稳定复合物的关联,从而缩短了ccnd1的半衰期。Akt2似乎也是调节葡萄糖摄取的主要亚型。在胰岛素刺激的脂肪细胞中,磷酸化“ser-197”上的c2cd5。Akt2也特别参与骨骼肌分化。RNA干扰下调BAD磷酸化形式的表达,导致caspase依赖性凋亡的诱导。磷酸化“thr-343”上的clk2。
亚细胞位置:
细胞质。细胞核。细胞膜;外周膜蛋白。注=位于增生性原发性成肌细胞的细胞核和细胞质内,大部分位于分化的原发性成肌细胞的细胞核内。由于N端的ph域,被招募到含有增加的pi(3,4,5)p3或pi(3,4)p2的质膜部位。
组织特异性:
在目前分析的所有细胞类型中表达。
翻译后修改:
注=AKT2缺陷是乳腺癌(BC)易感性的原因。Akt2促进肿瘤细胞的转移而不影响肿瘤发展的潜伏期。AKT3在胶质母细胞瘤生物学中也起着关键作用。
糖尿病,非胰岛素依赖性(NIDDM)【MIM:125853】:由于对人体胰岛素缺乏敏感性而导致的多因素葡萄糖稳态紊乱。受影响的个体通常有肥胖的身体习惯和以糖尿病、胰岛素抵抗、高血压和高甘油三酯血症为特征的代谢综合征的表现。这种疾病会导致影响眼睛、肾脏、神经和血管的长期并发症。注=该疾病是由影响本条所述基因的突变引起的。
低血胰岛素低血糖伴半肥大(HIHGH)[MIM:240900 ]:一种以低血糖、胰岛素水平低、酮体和支链氨基酸水平低、左侧肥大、新生儿巨大、意识下降和低血糖发作为特征的疾病。注=该疾病是由影响本条所述基因的突变引起的。
相似性:
属于蛋白激酶超家族。Agc-Ser/Thr蛋白激酶家族。Rac亚家族。
包含1个AGC激酶C端域。
包含1个ph域。
包含1个蛋白激酶域。
重要注意事项:
本产品仅用于研究用途,不用于人类、治疗或诊断应用。
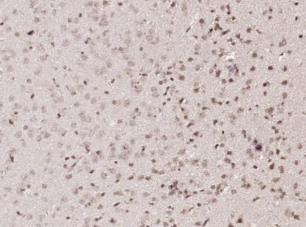
多聚甲醛固定,石蜡包埋(大鼠脑);经柠檬酸钠缓冲液(pH6.0)煮沸15min后获得抗原;用3%过氧化氢阻断内源性过氧化物酶20分钟;阻断缓冲液(正常山羊血清)在37℃下30min;用(磷酸-Akt2(Ser47))多克隆抗体进行抗体孵育。1:400在4°C下过夜,然后根据SP试剂盒(兔子)说明和DAB染色进行操作。
公司优势:
1)质量:我司提供的的试剂为世界。
2)价格:价格实惠,量大从优。
4)服务:提供完整的售前、售后和售中服务。售后到底。
如需订购磷酸化蛋白激酶B2抗体p-AKT2(S474),请联系我们。
| Anti-ITG-β3/CD61(Integrin β chain,β3 precursor) 整合素-β3抗体 |
| Anti-JNK1/3 (c-Jun amino-terminal kinase 1/3) c-Jun氨基末端激酶1/3抗体 |
| Anti-KATPC (ATP-Sensitive K+ Channel Subunits uKATP-1—ATP) ATP敏感性钾通道蛋白抗体 |
| Anti-Ki-67 Ki-67 Antigen抗体 |
| Anti-Kiss-1 (Metastasis-suppressor KiSS-1 precursor) 肿瘤转移抑制基因抗体 |
| Anti-Klf4 (Kruppel likefactor 4) 肠道内富含的Kruppel样因子/上皮锌指蛋白抗体 |
| Anti-KLH 血蓝蛋白抗体 |
| Anti-κOR (kappa Opioid receptor) kappa型阿片受体抗体 |