您的位置: 网站首页 >> 产品中心 >> >> 抗体 > α2纤溶酶色素上皮衍生因子抗体(A2AP)
产品名称:

α2纤溶酶色素上皮衍生因子抗体(A2AP)

产品型号: 产品时间: 2023-03-08
α2纤溶酶色素上皮衍生因子抗体(A2AP)家族的成员。该蛋白是纤溶酶的主要抑制剂,可降解纤维蛋白和其他各种蛋白质。因此,该基因的正常功能在调节凝血途径中起着重要作用。该基因突变导致α-2-纤溶酶抑制剂缺乏,其特征是严重出血性。已发现编码该基因不同亚型的多种转录变体。

产品概述

英文名称:Anti-Alpha 2 antiplasmin​

中文名称:α2纤溶酶色素上皮衍生因子抗体(A2AP)

抗体来源:兔

克隆类型:多克隆

交叉反应:人、大鼠、小鼠、狗、马、兔子​

产品应用:WB=1:500-2000 ELISA=1:500-1000 IHC-P=1:400-800 IHC-F=1:400-800 IF=1:100-500​(石蜡切片需做抗原修复)

尚未在其他应用程序中测试。

用户终应确定合适稀释浓度。

分子量:50kDa

细胞定位:分泌型蛋白

状态:冻干或液体

浓度:1mg/ml

来源于:KLH conjugated synthetic peptide derived from human SERPINF2:161-260/491

亚型:IgG

纯化方法:affinity purified by Protein A

储存液:0.01M TBS(pH7.4) with 1% BSA, 0.03% Proclin300 and 50% Glycerol.

​别    名:A2AP; A2AP_HUMAN; AAP; Alpha 2 antiplasmin; Alpha 2 antiplasmin pigment epithelium derived factor; Alpha 2 AP; ALPHA 2 PI; Alpha 2 plasmin inhibitor; Alpha 2 plasmin inhibitor deficiency; Alpha-2-antiplasmin; Alpha-2-AP; Alpha-2-PI; Alpha-2-plasmin inhibitor; Antiplasmin deficiency; API; Plasmin inhibitor deficiency; PLI; Serine (or cysteine) peptidase inhibitor, clade F, member 2; Serine (Or cysteine) peptidase inhibitor, clade F, member 2, isoform CRA_c; Serine (or cysteine) proteinase inhibitor, clade F (alpha 2 antiplasmin pigment epithelium derived factor) member 2; Serine (Or cysteine) proteinase inhibitor, clade F, member 2; Serine or cysteine peptidase inhibitor clade F member 2; Serpin F2; Serpin peptidase inhibitor clade F; Serpin peptidase inhibitor, clade F (alpha 2 antiplasmin pigment epithelium derived factor) member 2; SERPINF2. ​

保存条件:在-20°C下保存一年。避免重复冻融循环。冻干抗体在室温下至少稳定一个月,并在-20°C下保持一年以上。当在无菌pH7.4 0.01M PBS或抗体稀释剂中重组时,抗体在2-4°C下至少稳定两周。

产品介绍

α2抗蛋白酶蛋白是丝氨酸蛋白酶抑制剂serpin家族的成员。该蛋白是纤溶酶的主要抑制剂,可降解纤维蛋白和其他各种蛋白质。因此,该基因的正常功能在调节凝血途径中起着重要作用。该基因突变导致α-2-纤溶酶抑制剂缺乏,其特征是严重出血性。已发现编码该基因不同亚型的多种转录变体。

 

功能:

丝氨酸蛋白酶抑制剂。这种抑制剂的主要靶点是纤溶酶和胰蛋白酶,但也能使基质蛋白酶3/TMPRSS7和糜蛋白酶失活。

 

Subunit:

与TMPRSS7形成蛋白酶抑制异二聚体。

 

亚细胞位置:

分泌的

 

组织特异性:

由肝脏表达,在血浆中分泌。

 

疾病:

α-2-纤溶酶抑制剂缺乏症(APLID)【MIM:262850】:一种常染色体隐性疾病,导致严重的出血素质。注=该疾病是由影响本条所述基因的突变引起的。

 

相似性:

属于塞尔平家族。

 

重要注意事项:

本产品仅用于研究用途,不用于人类、治疗或诊断应用。

​​

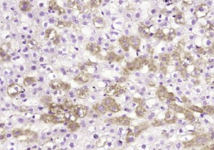
​多聚甲醛固定,石蜡包埋(大鼠肝脏);用柠檬酸钠缓冲液(pH6.0)煮沸15min后获得抗原;用3%过氧化氢阻断内源过氧化物酶20分钟;阻断缓冲液(正常山羊血清)37℃30min;抗体(α2抗纤维蛋白溶酶)多克隆抗体1℃孵育:200在4°C下过夜,然后根据SP试剂盒(兔子)说明和DAB染色进行操作。

公司优势:
1)质量:我司提供的的试剂为世界。
2)价格:价格实惠,量大从优。
4)服务:提供完整的售前、售后和售中服务。售后到底。

如需订购α2纤溶酶色素上皮衍生因子抗体(A2AP)​​​​​​​,请联系我们。

Anti-Melan-A/MART-1  黑色素瘤相关抗原/黑色素-A抗体
Anti-Metal ion transporter  拟南介金属离子转运蛋白抗体
Anti-Mfn1 (Mitofusin1)  线粒体融合蛋白1抗体
Anti-MGMT (O6-methylguanine-DNA methyltransferase)  O6甲基鸟嘌呤DNA甲基转移酶抗体
anti-MT(metallothionein)  金属基质硫蛋白抗体
anti-MGr1-Ag/37LRP(P37-kDa laminin receptor precursor)(NT)  层粘连蛋白受体1抗体(N端)
anti-MGr1-Ag/37LRP(P37-kDa laminin receptor precursor)(CT)  层粘连蛋白受体1抗体(C端)

留言框

  • 产品:

  • 您的单位:

  • 您的姓名:

  • 联系电话:

  • 常用邮箱:

  • 省份:

  • 详细地址:

  • 补充说明:

  • 验证码:

    请输入计算结果(填写阿拉伯数字),如:三加四=7
分享到:
版权所有©2019 上海晅科生物科技有限公司 备案号:京ICP证000000号
  • 扫一扫,关注我们