您的位置: 网站首页 >> 产品中心 >> >> 抗体 > α-1抗胰糜蛋白酶/SERPINA3抗体(AACT-α)
产品名称:

α-1抗胰糜蛋白酶/SERPINA3抗体(AACT-α)

产品型号: 产品时间: 2023-03-08
丝氨酸蛋白酶抑制剂(serpin)家族成员α1-抗胸腺胰蛋白酶抑制中性粒细胞蛋白酶组织蛋白酶G和肥大细胞乳糜酶,保护下呼吸道免受蛋白水解酶的损害。它包含一个反应性中心环,与同源蛋白酶相互作用,导致环分裂和一个主要的构象变化。近,α1-抗胸腺胰蛋白酶已被确定为阿尔茨海默病相关神经原纤维斑块的主要组成部分,α-1抗胰糜蛋白酶/SERPINA3抗体(AACT-α),它可提高淀粉样纤维的形成率。

产品概述

英文名称:Anti-Alpha-1-Antichymotrypsin​

中文名称:α-1抗胰糜蛋白酶/SERPINA3抗体(AACT-α)

抗体来源:兔子

克隆类型:多克隆

交叉反应:人类,大鼠,小鼠​

产品应用:WB=1:500-2000 ELISA=1:500-1000 IHC-P=1:400-800 IHC-F=1:400-800 IF=1:100-500(石蜡切片需做抗原修复)

尚未在其他应用程序中测试。

用户终应确定合适稀释浓度。

分子量:45kDa

细胞定位:分泌型蛋白

状态:冻干或液体

浓度:1mg/ml

来源于:KLH conjugated synthetic peptide derived from human AACT-Alpha1:121-320/423

亚型:IgG

纯化方法:affinity purified by Protein A

储存液:0.01M TBS(pH7.4) with 1% BSA, 0.03% Proclin300 and 50% Glycerol.

​别    名:Alpha 1-Antichymotrypsin; AACT-Alpha 1; AACT Alpha 1; SERPINA3; AACT; A1ACT; ACT; Alpha 1 Antichymotrypsin 1; Alpha 1 Antichymotrypsin 2; Alpha 1 Antichymotrypsin 3; Alpha 1 Antitrypsin Deficiency; Anti Elastase; Antichymotrypsin; Cell growth inhibiting gene 24/25 protein; Clade A (Alpha 1 Antiproteinase Antitrypsin); GIG24; GIG25; Growth inhibiting protein 24; Growth inhibiting protein 25; MGC88254; PI1; Protease Inhibitor 1; Serine (or Cysteine) Proteinase Inhibitor; Serine (or cysteine) proteinase inhibitor clade A (alpha 1 antiproteinase, antitrypsin) member 3; Serine (or cysteine) proteinase inhibitor clade A member 3; Serine proteinase inhibitor clade A member 3; Serpin peptidase inhibitor clade A (alpha 1 antiproteinase antitrypsin) member 3; SERPINA1; SERPINA2; SERPINA3; Serpin A3; Alpha-1-antichymotrypsin His-Pro-less; AACT_HUMAN.

保存条件:在-20°C下保存一年。避免重复冻融循环。冻干抗体在室温下至少稳定一个月,并在-20°C下保持一年以上。当在无菌pH7.4 0.01M PBS或抗体稀释剂中重组时,抗体在2-4°C下至少稳定两周。

产品介绍

丝氨酸蛋白酶抑制剂(serpin)家族成员α1-抗胸腺胰蛋白酶抑制中性粒细胞蛋白酶组织蛋白酶G和肥大细胞乳糜酶,保护下呼吸道免受蛋白水解酶的损害。它包含一个反应性中心环,与同源蛋白酶相互作用,导致环分裂和一个主要的构象变化。近,α1-抗胸腺胰蛋白酶已被确定为阿尔茨海默病相关神经原纤维斑块的主要组成部分,体外研究表明,它可提高淀粉样纤维的形成率。这些观察和近的遗传证据表明,α1-抗糜烂蛋白酶在阿尔茨海默病的发病机制中是重要的。

 

功能:

虽然其生理功能尚不清楚,但能抑制中性粒细胞组织蛋白酶G和肥大细胞凝乳酶,两者都能将血管紧张素-1转化为活性血管紧张素-2。

 

Subunit:

与dnajc1相互作用。

 

亚细胞位置:

分泌的

 

组织特异性:

等离子体。在肝脏中合成。与相关的α-1-抗胰蛋白酶一样,其浓度在炎症或感染的急性期增加。发现于阿尔茨海默病大脑海马的淀粉样斑块。

 

相似性:

属于塞尔平家族。

 

重要注意事项:

AACT是由神经胶质细胞分泌并参与淀粉样纤维生成和沉积的一种色氨酸蛋白酶抑制剂,被认为是Aβ肽的假性底物,与Aβ肽具有很高的亲合性,可促进Aβ肽的纤维化以生成淀粉样沉积。
ApoE作为AD的另一种病理伴随性物质,也可识别并与Aβ肽相结合,促进Aβ肽沉积生成淀粉样老年斑块。由于AACT和ApoE在AD发病中具有共同的作用途径,因此探讨其相互作用可能是AD治疗中一个新的途径。
AACT是一种丝氨酸蛋白酶抑制剂,可以中和糜蛋白酶等酶活性的蛋白酶,存在于大多数的组织细胞、巨噬细胞以及多种胃肠道和肺部肿瘤中,但多形核白细胞中无此物质,它可以作为组织细胞瘤和良性/恶性纤维组织细胞瘤的标志。此抗体与人的AACT反应,主要用于恶性纤维组织细胞瘤等恶性肿瘤的诊断,也可用于胃癌﹑肺癌、肾癌等肿瘤的研究。

本产品仅用于研究用途,不用于人类、治疗或诊断应用。

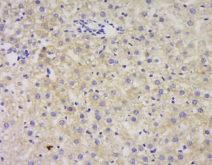
组织/细胞:小鼠肝组织,4%多聚甲醛固定、石蜡包埋;

抗原检索:柠檬酸缓冲液(0.01M,pH 6.0),沸水浴15min;座城市和过氧化物酶3 %过氧化氢30min;阻塞缓冲(正常山羊血清C - 0005)37℃20分钟;

孵化:抗α1-抗糜蛋白酶polyclonal抗体,unconjugated(BS 0094r)1∶200,隔夜以4°C,随后两个中等城市conjugation抗体(P 0.023)和(C 0010 DAB)染色

公司优势:
1)质量:我司提供的的试剂为世界。
2)价格:价格实惠,量大从优。
4)服务:提供完整的售前、售后和售中服务。售后到底。

如需订购α-1抗胰糜蛋白酶/SERPINA3抗体(AACT-α)​​,请联系我们。

Anti-NRP-1(neuropilin-1)  神经纤毛蛋白-1抗体
Anti-NRP-2(neuropilin-1)  神经纤毛蛋白-2抗体
Anti-NSBP1(Nucleosome-binding protein 1)  核小体结合蛋白1抗体
Anti-NSE (neuron specific enolase)  神经元特异性烯醇化酶抗体
Anti-NT-3  神经营养因子-3抗体
Anti-NT-4/NT-5(Neurotrophic factor 4/5)  神经生长因子4/5抗体
Anti-NTN(Neurturin )  神经生长因子抗体

留言框

  • 产品:

  • 您的单位:

  • 您的姓名:

  • 联系电话:

  • 常用邮箱:

  • 省份:

  • 详细地址:

  • 补充说明:

  • 验证码:

    请输入计算结果(填写阿拉伯数字),如:三加四=7
分享到:
版权所有©2019 上海晅科生物科技有限公司 备案号:京ICP证000000号
  • 扫一扫,关注我们