英文名称:Anti-Phospho-BRCA1 (Ser1189)
中文名称:磷酸化乳腺癌易感基因1抗体(P-BRCA1)
抗体来源:兔子
克隆类型:多克隆
交叉反应:人、小鼠、大鼠
产品应用:ELISA=1:500-1000 IHC-P=1:100-500 IHC-F=1:100-500 IF=1:100-500(石蜡切片需做抗原修复)
分 子 量:205kDa
细胞定位:细胞核 细胞浆
状态:冻干或液体
浓度:1mg/ml
来源于:KLH conjugated Synthesised phosphopeptide derived from human BRCA1 around the phosphorylation site of Ser1189:SR(p-S)PS
亚型:IgG
纯化方法:affinity purified by Protein A
储存液:0.01M TBS(pH7.4) with 1% BSA, 0.03% Proclin300 and 50% Glycerol.
别 名:BRCA1 (phospho Ser1189); BRCA1 (phospho S1189); p-BRCA1 (phospho S1189); BRCA 1; BRCA1; BRCA1/BRCA2 containing complex subunit 1; BRCA1/BRCA2-containing complex, subunit 1; BRCA1_HUMAN; BRCAI; BRAC 1; BRCA 1; BRCC 1; BRCC1; Breast Cancer 1; Breast Cancer 1 Early Onset; Breast cancer type 1 susceptibility protein; Breast and ovarian cancer susceptibility protein 1; Breast Ovarian Cancer Susceptibility; IRIS; Papillary Serous Carcinoma Of The Peritoneum; PSCP; RING finger protein 53; BROVCA1; IRIS; PNCA4; PPP1R53; Protein phosphatase 1 regulatory subunit 53; RNF53; BAP1.
保存条件:在-20°C下保存一年。避免反复冻融。冻干抗体在室温下至少稳定一个月,并在-20°C下保持一年以上。当在无菌pH7.4 0.01M PBS或抗体稀释剂中重组时,抗体在2-4°C下至少稳定两周。
产品介绍:
该基因编码一种在维持基因组稳定性中起作用的核磷蛋白,并作为肿瘤抑制因子发挥作用。编码蛋白与其他肿瘤抑制因子、DNA损伤传感器和信号转导子结合形成一个大的多亚单位蛋白复合物,称为BRCA1相关基因组监测复合物(BASC)。该基因产物与RNA聚合酶Ⅱ结合,并通过C端域与组蛋白脱乙酰基酶复合物相互作用。因此,这种蛋白在转录、双链断裂的DNA修复和重组中起到作用。该基因突变导致约40%的遗传性乳腺癌和80%以上的遗传性乳腺癌和卵巢癌。选择性剪接对该基因的亚细胞定位和生理功能起着调节作用。许多选择性剪接的转录变体,其中一些是疾病相关的突变,已经被描述为这个基因,但只有一些变体的全长性质已经被描述。已经鉴定出一个相关的假基因,也位于17号染色体上。[由RefSeq提供,2009年5月]。
功能:
E3泛素蛋白连接酶,专门介导“Lys-6”连接的多泛素链的形成,并通过促进细胞对DNA损伤的反应在DNA修复中起到中心作用。目前尚不清楚它是否也能介导其他类型的多泛素链的形成。E3泛素蛋白连接酶活性是肿瘤抑制功能所必需的。BRCA1-BARD1异二聚体协调多种细胞途径,如DNA损伤修复、泛素化和转录调节,以维持基因组的稳定性。调节中心体微管成核。正常细胞周期从G2到有丝分裂所需。在细胞周期的s相和g2相电离辐射后适当的细胞周期停止所需的。参与p21对DNA损伤的转录调控。需要将Fancd2定位到DNA损伤部位。可能作为转录调节器发挥作用。通过结合非活性磷酸化ACACA并防止其去磷酸化来抑制脂质合成。通过与palb2的直接相互作用促进同源重组修复(hrr),部分微调重组修复通过其在DNA断裂处BRCA2-RAD51修复机械的palb2依赖性负载中的调节作用。
子单元:
异二聚体与bard1。BRCA1相关基因组监测复合体(BASC)的一部分,包含BRCA1、MSH2、MSH6、MLH1、ATM、BLM、PMS2和RAD50-MRE11-NBN蛋白复合体。这种关联可能是一个动态过程,在细胞周期和亚核区域内发生变化。BRCA1-A复合体的组成部分,至少由BRCA1、BARD1、UIMC1/RAP80、FAM175A/ABRAXAS、BRCC3/BRCC36、BRE/BRCC45和BABAM1/NBA1组成。与FAM175A/Abraxas和RBBP8相互作用(通过BRCT域)。与RNA聚合酶Ⅱ全酶有关。与SMC1A和COBRA1/NELFB相互作用。与磷酸化BRIP1相互作用(通过BRCT域)。与FANCD2相互作用(泛素化)。与BAP1交互。与DCLRE1C/ARTEMIS和CLSPN交互。与h2afx相互作用(在“ser-140”上磷酸化)。与CHEK1和CHEK2交互。与BRCC3交互。通过brct域与acaca(磷酸化)相互作用;这种相互作用阻止acaca的去磷酸化。与奥尔卡互动。与UBXN1交互。包含BRCA1、BRCA2和PALB2的三聚体复合体的一部分。与PALB2相互作用,这种相互作用对其在HRR中的作用至关重要。仅在作为桥接蛋白的palb2存在时与brca2相互作用。
重要提示:
本产品仅用于研究用途,不用于人类、治疗或诊断应用
BRCA1基因是早被发现的乳腺癌易感基因其突变和家族性乳腺癌、卵巢癌的发病有关。
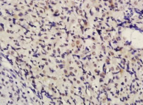
组织/细胞:小鼠卵巢组织;4%多聚甲醛固定石蜡包埋;
抗原提取:柠檬酸缓冲液(0.01M,pH 6),15min煮沸,用3%过氧化氢阻断内源性过氧化物酶30min;37℃下阻断缓冲液(正常山羊血清)20 min;
孵育:抗磷酸-BRCA1多克隆抗体,未结合1:200,在4°C下过夜,然后接合到二级抗体和DAB染色。
公司优势:
1)质量:我司提供的的试剂为世界。
2)价格:价格实惠,量大从优。
4)服务:提供完整的售前、售后和售中服务。售后到底。
如需订购磷酸化乳腺癌易感基因1抗体(P-BRCA1),请联系我们。
| Anti-EBNA-3 (EpsteinBarr nuclear antigens 3) EB病毒编码核蛋白-3抗体 |
| Anti-ECE1(Endothelin Converting Enzyme 1) 内皮素转化酶1ECE1抗体 |
| Anti-ECG2 (sophagus cancer-related gene-2) 食道癌相关基因抗体 |
| Anti-ECM1 (extracellular matrix protein 1) 细胞外基质蛋白1抗体 |