英文名称:Anti-BTBD1
中文名称:BTB/POZ结构域蛋白1抗体(BTBD1)
抗体来源:兔子
克隆类型:多克隆
交叉反应:人、小鼠、大鼠、狗、猪、牛、马、羊
产品应用:WB=1:500-2000 ELISA=1:500-1000 IHC-P=1:100-500 IHC-F=1:100-500 IF=1:50-200(石蜡切片需做抗原修复)
分 子 量:53kDa
细胞定位:细胞浆
状态:冻干或液体
浓度:1mg/ml
来源于:KLH conjugated synthetic peptide derived from human BTBD1:101-200/482
亚型:IgG
纯化方法:affinity purified by Protein A
储存液:0.01M TBS(pH7.4) with 1% BSA, 0.03% Proclin300 and 50% Glycerol.
别 名:BTB (POZ) domain containing 1; BTB domain containing 1; BTB/POZ domain containing protein 1; BTBD 1; BTBD1; C15orf1; HCV NS5A transactivated protein 8; Hepatitis C virus NS5A transactivated protein 8; NS5ATP8; BTBD1_HUMAN.
保存条件:在-20°C下保存一年。避免反复冻融。冻干抗体在室温下至少稳定一个月,并在-20°C下保持一年以上。当在无菌pH7.4 0.01M PBS或抗体稀释剂中重组时,抗体在2-4°C下至少稳定两周。
产品介绍:
btbd1包含一个富含脯氨酸的区域和一个btb/poz结构域,通常参与蛋白质-蛋白质相互作用。btbd1的c末端结合拓扑异构酶I,btbd1也与trim5亚型δ相互作用。btbd1定位于胞质体,对肌源性分化至关重要。
功能:
E3泛素蛋白连接酶复合物的可能底物特异性转接器,介导目标蛋白的泛素化和随后的蛋白酶体降解。
子单元:
与拓扑异构酶1和trim5亚型δ相互作用。与CUL3相互作用。
亚细胞位置:
细胞质,P体。胞质体。
组织特异性:
普遍存在;心脏和骨骼肌中含量较高。
相似性:
包含1个BTB(POZ)域。
重要提示:
本产品仅用于研究用途,不用于人类、治疗或诊断应用
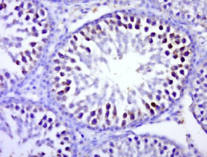
多聚甲醛固定,石蜡包埋(大鼠睾丸);经柠檬酸钠缓冲液(pH6.0)煮沸15min后获得抗原;用3%过氧化氢阻断内源性过氧化物酶20分钟;阻断缓冲液(正常山羊血清)37℃30min;用BTBD1多克隆抗体孵育Tibody,未结合在1:500下在4°C下过夜,然后结合二次20分钟,DAB染色。
公司优势:
1)质量:我司提供的的试剂为世界。
2)价格:价格实惠,量大从优。
4)服务:提供完整的售前、售后和售中服务。售后到底。
如需订购BTB/POZ结构域蛋白1抗体(BTBD1),请联系我们。
| Anti-HMGB1 (High Mobility Group Box protein 1) 高迁移率族蛋白-1抗体 |
| Anti-HO-1/HSP32 (Hemeo xygenase 1) 血红素氧合酶-1/热休克蛋白-32抗体 |
| Anti-HO-2 (Heme oxygenase 2) 血红素氧合酶-2抗体 |
| Anti-HOXc8 同源盒基因的一种 |
| Anti-HPV (Human papillomavirus) 人类乳头状瘤病毒抗体 |