英文名称:Anti-BRMS1
中文名称:乳腺癌转移抑制基因1抗体(BRMS1)
抗体来源:兔子
克隆类型:多克隆
交叉反应:人、小鼠、大鼠、狗、猪、马
产品应用:WB=1:500-2000 ELISA=1:500-1000 IHC-P=1:100-500 IHC-F=1:100-500 ICC=1:100-500 IF=1:100-500(石蜡切片需做抗原修复)
分 子 量:28kDa
细胞定位:细胞核 细胞浆
状态:冻干或液体
浓度:1mg/ml
来源于:KLH conjugated synthetic peptide derived from human BRMS1:151-246/246
亚型:IgG
纯化方法:affinity purified by Protein A
储存液:0.01M TBS(pH7.4) with 1% BSA, 0.03% Proclin300 and 50% Glycerol.
别 名:Breast cancer metastasis suppressor 1; Breast cancer metastasis-suppressor 1; BRMS-1; BRMS1_HUMAN; DKFZp564A063; MGC95128; AV003220; AW554636.
保存条件:在-20°C下保存一年。避免反复冻融。冻干抗体在室温下至少稳定一个月,并在-20°C下保持一年以上。当在无菌pH7.4 0.01M PBS或抗体稀释剂中重组时,抗体在2-4°C下至少稳定两周。
产品介绍:
乳腺癌转移抑制因子1(BRMS1)是一种246氨基酸蛋白,在卵巢、肺、膀胱和小鼠乳腺等多种癌症中起到抑制转移的中介作用。BRMS1 mRNA在卵巢、前列腺、睾丸和结肠等不同组织中表达,但主要在足月胎盘中检测到。BRMS1通过改变几种转移相关表型来抑制转移而不抑制肿瘤发生。BRMS1可能通过结合msin3/组蛋白脱乙酰基酶复合物参与转录调控。BRMS1在某些细胞中的表达增加了连接蛋白CX43的表达,降低了连接蛋白CX32的表达。这会产生一个间隙连接,增加细胞间通讯,类似于在正常乳腺组织中发现的。BRMS1被hsp90稳定,可能抑制NF-_b活性。
功能:
转录抑制因子。通过促进“lys-310”处rela的去乙酰化,下调nf-kappa-b的转录激活。促进hdac1与启动子区域的结合。下调由NF-kappa-b控制的抗凋亡基因的表达。促进与底物(一种称为anoikis的过程)粘附不足的细胞凋亡,从而抑制转移。可能是乳腺癌转移抑制的介质。
子单元:
属于BRMS1家族。
亚细胞位置:
原子核。细胞质。主要是核。
组织特异性:
足月胎盘的表达水平高于早期胎盘。在正常妊娠和葡萄胎妊娠中观察到低表达。
相似性:
属于BRMS1家族。
重要提示:
本产品仅用于研究用途,不用于人类、治疗或诊断应用
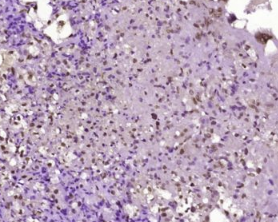
多聚甲醛固定,石蜡包埋(小鼠胎盘);经柠檬酸钠缓冲液(pH6.0)煮沸15min后获得抗原;用3%过氧化氢阻断内源过氧化物酶20分钟;阻断缓冲液(正常山羊血清)37℃30min;用BRMS1多克隆抗体进行抗体孵育L抗体,未结合,1:400,4°C下过夜,然后根据SP试剂盒(兔子)说明和DAB染色进行操作。
公司优势:
1)质量:我司提供的的试剂为世界。
2)价格:价格实惠,量大从优。
4)服务:提供完整的售前、售后和售中服务。售后到底。
如需订购乳腺癌转移抑制基因1抗体(BRMS1),请联系我们。
| Anti-hTRT Telomerase catalytic subunit(TE) 端粒酶抗体(催化亚单位) |
| Anti-Human serumAnti-Human serum 兔抗人血清抗体抗血清 |
| Anti-Hydroxyethyk staYTh/HES Anti-hydroxyethyk staYTh/HES 羟乙基淀粉抗体 |
| Anti-Hypothetical protein (LOC55652) hypothetical protein抗体 |
| anti-IAA(Indole-3-Acetic Acid) 吲哚-3-乙酸抗体/植物生长素抗体 |
| anti-IAA(Indole-3-Acetic Acid) 吲哚-3-乙酸抗体/植物生长素单克隆抗体 |